ZOLUTION: A Universal 3D Wiring Method for CTO PCI
Critical appraisal of Wu et al., Catheterization and Cardiovascular Interventions, 2026.
EDUCATIONCTO PCI3D WiringAPCTO Club
Paper: Wu et al., Cathet Cardiovasc Interv 2026DOI: 10.1002/ccd.70575Open Access
TL;DR. Wu and the APCTO Club propose ZOLUTION (Zero degree OverLap view Universal Three dimensIONal CTO Wiring), a simplified antegrade 3D wiring technique that removes the need for a mental 3D image and for 90 degree apart angiographic views. The method centers on finding a zero degree overlap view where the wire shaft and the target overlap, straightening the tip, and confirming direction in a 35 to 70 degree secondary view before puncturing forward. The authors argue ZOLUTION is universally applicable and methodologically simpler than the Okamura, ADAPT and rotational overlap techniques.
Background
Three dimensional antegrade wiring has been advocated for over a decade as a superior alternative to 2D wiring in CTO PCI, particularly for distal cap puncture into the distal true lumen, body wiring through clear intimal path lesions, proximal cap entry and reverse CART. The Okamura method and ADAPT (Wu et al., 2019) showed improved success, yet adoption outside Japan remained limited. The reasons are well known: building a reliable mental 3D image is cognitively expensive, optimal angiographic views differ for each coronary segment, and acquiring true 90 degrees apart projections is often physically impossible on modern C-arms. Leung et al. described a rotational overlap method that partially solved the geometry problem but still required specific angles. The opportunity for a more practical universal technique was clear.
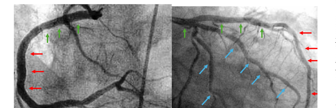
Figure 1. Principles of ADAPT (Angiographic 3 Dimensional Antegrade Puncture Technique) wiring. The geometric basis that ZOLUTION later simplifies away. Source: Wu et al., Catheter Cardiovasc Interv 2026, CC BY.
Methods
This is an EDUCATION article, not a clinical trial. The authors present a stepwise technique, a comparison table against existing 3D wiring methods, recommended use cases, schematic figures and three procedural movies. There is no patient cohort, no outcomes data and no statistical analysis. The mathematical justification for view selection is provided in Appendix C by Calvin Leung, including a correction for cases where the ZOV cannot be reached at standard angulations.
The four steps:
Identify the ZOV, the fluoroscopic projection in which the wire shaft and the imaginary line through the distal cap target overlap.
Straighten the tip by minute rotational adjustments in that view, so the shaft and tip form a single straight column.
Acquire a coaxial secondary view 35 to 70 degrees away. If the tip points away from the target, return to the ZOV, rotate 180 degrees, re-straighten and re-check.
Advance the wire in the secondary view, where depth perception is preserved and the target is visible.
Figure 3. ZOLUTION wiring sequence. (a) Locate the zero degree overlap view (ZOV). (b) Straighten the wire tip. (c) Move to the secondary view and check direction. (d) If pointing away, return to ZOV and rotate 180 degrees. (e) Re-check in secondary view. (f) Wire forward into the distal true lumen. Source: Wu et al., Catheter Cardiovasc Interv 2026, CC BY.Figure 5. Finding the ZOV. (a) When the wire position lies on opposite sides of the target in two views, the ZOV is between them. (b) When the wire is on the same side, the ZOV is further rotated toward the closer view. Source: Wu et al., Catheter Cardiovasc Interv 2026, CC BY.
Key results and claims
Table 1 in the original paper summarizes the comparison against the full mental image method, Okamura method, ADAPT and rotational overlap. The structured comparison below adapts the same criteria. ZOLUTION removes the need for a mental 3D image, does not require 90 degree apart projections, does not depend on specific predefined angles for each segment, and delivers a precise zero degree wiring vector. With wire repositioning across quadrants, estimated coverage rises to LAD 85 to over 100 percent, RCA 66 to over 100 percent and LCx 33 to over 66 percent compared with rotational overlap. Recommended wires for distal cap puncture are Conquest or Confianza 12g and Hornet 14, with Conquest Pro 8/20 or Conquest Pro Sharpen Tip (CPST) reserved for the toughest caps.
Criterion
Mental image
Okamura
ADAPT
Rot. overlap
ZOLUTION
Mental 3D image required
Yes
Yes
No
Yes
No
Specific segment angles
Yes
Yes
Yes
No
No
90° apart angio required
Yes
Yes
Yes
No
No
Precise tip-to-target angle
No
No
No
Yes
Yes
% LAD coverage
100%
100%
100%
85%
85% → >100%*
% RCA coverage
100%
100%
100%
66%
66% → >100%*
% LCx coverage
66%
66%
66%
33%
33% → >66%*
Adapted from Wu et al., Table 1, Catheter Cardiovasc Interv 2026 (CC BY). *With cross-quadrant wire repositioning.
Figure 4. Fluoroscopic angles to find the ZOV. Vertical segments (mid RCA, m-distal LAD) use LAO and RAO (red arrows). Horizontal segments (LMS, pLAD, p-d RCA) use LAO cranial and LAO caudal (green arrows). Diagonal segments (PLV, LCx) use RAO caudal and LAO cranial (blue arrows). Source: Wu et al., Catheter Cardiovasc Interv 2026, CC BY.Figure 7. (a) Near side miss: pull the wire and microcatheter back so that the wire travels a longer distance toward the target. (b) Far side overshoot: pull back to the center of the cap and rotate 180 degrees, then re-puncture. Source: Wu et al., Catheter Cardiovasc Interv 2026, CC BY.
Critical appraisal
The strength of ZOLUTION lies in its conceptual elegance. By collapsing the 3D problem into a single overlap view plus a confirmatory near orthogonal projection, the technique sidesteps the cognitive burden that historically limited Okamura method adoption in Western and Latin American labs. For operators already comfortable with ADAPT, the leap is small and the language reusable. The use case framework, anchored on the APCTO Club CTO body morphology classification (clear intimal path, tapered, blunt, ambiguous), is clinically pragmatic and aligns 3D wiring with the lesion subsets where it actually adds value.
The main weakness is the absence of prospective data. This is not a validation study. Claims of improved coverage and crossing success are theoretical and operator dependent. The near miss / far miss correction loop is intuitive but assumes optimal stiff wire control, which is not universal. ZOLUTION also presupposes confidence with high penetration force wires (Conquest, Confianza, Hornet class). Operators relying mostly on Gaia family wires may struggle to translate the geometric clarity into the puncture force the technique demands. The Appendix C trigonometric correction is welcome, but hints that universal applicability still has anatomical limits, particularly in horizontal mid LAD or pLAD segments where the ZOV can fall outside reachable C-arm angulations.
A second consideration is that the 35 to 70 degree tolerance for the secondary view softens the precision of the technique. The closer to 35 degrees, the larger the parallax error and the higher the risk of misjudging tip orientation. The article would benefit from a recommended default range and from explicit guidance on when to abandon ZOLUTION in favor of parallel wiring, knuckle/dissection re-entry, or a retrograde strategy.
Take-home for the cathlab
Adopt ZOLUTION as the default 3D wiring framework for distal cap puncture in clear intimal path CTOs and for proximal cap engagement when high penetration force wires are required. Pair it systematically with a Conquest 12 or Hornet 14, and confirm puncture in the secondary view before committing to advancement. Keep a mathematical fallback for vertical LAD geometries where the ZOV is not directly attainable. Document the ZOV acquisition explicitly in your case logs to build a personal database, since future validation of the technique will depend on operator level outcomes.
Wu EB, Leung C, Nagamatsu W, Mashayekhi K, Matsuno S, Harding SA, Lo S, Lim ST, Ge L, Chen JY, Qian J, Lee SW, Kao HL, Kalyanasundaram A, Muenpetch M, Luo HJF, Brilakis ES. A Novel 3D Wiring Technique, ZOLUTION Zero Degree OverLap View Universal Three DimensIONal CTO Wiring. Catheter Cardiovasc Interv. 2026;1–11. doi:10.1002/ccd.70575
This Journal Club entry is an independent critical appraisal for educational purposes. It does not represent the views of the original authors or of any institution. Evandro Martins Filho, MD has no relationship with the authors or sponsors of the cited paper.
Resumo. Wu e o APCTO Club propõem a técnica ZOLUTION (Zero degree OverLap view Universal Three dimensIONal CTO Wiring), uma estratégia simplificada de wiring anterógrado 3D em CTO que dispensa a construção mental de uma imagem tridimensional e dispensa projeções angiográficas a 90 graus. O método se ancora em encontrar uma projeção de sobreposição de zero grau, na qual o corpo do fio e o alvo se sobrepõem, retificar a ponta nessa visão, e confirmar a direção em uma segunda visão a 35 a 70 graus antes de puncionar para frente. Os autores argumentam que ZOLUTION é universalmente aplicável e mais simples que Okamura, ADAPT e overlap rotacional.
Contexto
O wiring anterógrado 3D é defendido há mais de uma década como alternativa superior ao wiring 2D em CTO PCI, particularmente para punção da capa distal no lúmen verdadeiro distal, body wiring em lesões com trajeto intimal claro, abordagem da capa proximal e reverse CART. Os métodos Okamura e ADAPT (Wu et al., 2019) mostraram ganho de sucesso, mas a adoção fora do Japão permaneceu limitada. As razões são conhecidas: construir uma imagem 3D mental é cognitivamente caro, as projeções angiográficas ideais variam por segmento, e obter visões verdadeiramente a 90 graus é frequentemente impossível nos arcos modernos. Leung et al. descreveram o método de overlap rotacional, que resolveu parte do problema geométrico, mas ainda exigia ângulos específicos. Havia espaço para uma técnica universal mais prática.
Figura 1. Princípios do ADAPT (Angiographic 3 Dimensional Antegrade Puncture Technique). A base geométrica que a ZOLUTION posteriormente simplifica. Fonte: Wu et al., Catheter Cardiovasc Interv 2026, CC BY.
Métodos
Trata se de um artigo EDUCATION, não de um ensaio clínico. Os autores apresentam a técnica passo a passo, uma tabela comparativa contra os métodos 3D existentes, casos de uso recomendados, figuras esquemáticas e três vídeos procedurais. Não há coorte de pacientes, desfechos ou análise estatística. A justificativa matemática para a escolha das visões está no Apêndice C, assinado por Calvin Leung, incluindo correção para casos em que a ZOV não pode ser atingida em angulações padrão.
Os quatro passos:
Identificar a ZOV, projeção fluoroscópica em que o corpo do fio e a linha imaginária através do alvo na capa distal se sobrepõem.
Retificar a ponta com micro rotações nessa visão, formando uma coluna reta entre corpo e tip.
Adquirir uma segunda visão coaxial a 35 a 70 graus. Se a ponta não apontar para o alvo, voltar à ZOV, rotacionar 180 graus, retificar e reconferir.
Avançar o fio na segunda visão, onde a percepção de profundidade está preservada e o alvo é visível.
Figura 3. Sequência da ZOLUTION. (a) Localizar a projeção de sobreposição de zero grau (ZOV). (b) Retificar a ponta do fio. (c) Ir para a segunda visão e checar direção. (d) Se apontar para fora, voltar à ZOV e rotacionar 180 graus. (e) Reverificar na segunda visão. (f) Avançar até o lúmen verdadeiro distal. Fonte: Wu et al., Catheter Cardiovasc Interv 2026, CC BY.Figura 5. Como encontrar a ZOV. (a) Quando a posição do fio está em lados opostos do alvo nas duas visões, a ZOV fica entre elas. (b) Quando está do mesmo lado, a ZOV é uma rotação adicional na direção da visão mais próxima. Fonte: Wu et al., Catheter Cardiovasc Interv 2026, CC BY.
Resultados e alegações
A Tabela 1 do artigo original sintetiza a comparação contra mental image, Okamura, ADAPT e overlap rotacional. ZOLUTION elimina a imagem 3D mental, não exige projeções a 90 graus, não depende de ângulos predefinidos por segmento, e oferece um vetor preciso de zero grau até o alvo. Com reposicionamento do fio entre quadrantes, a cobertura estimada sobe para DA 85 a mais de 100 por cento, CD 66 a mais de 100 por cento e Cx 33 a mais de 66 por cento em relação ao overlap rotacional. Os fios recomendados para punção da capa distal são Conquest ou Confianza 12g e Hornet 14, reservando Conquest Pro 8/20 ou Conquest Pro Sharpen Tip (CPST) para as capas mais resistentes.
Critério
Imagem mental
Okamura
ADAPT
Overlap rot.
ZOLUTION
Imagem 3D mental necessária
Sim
Sim
Não
Sim
Não
Ângulos específicos por segmento
Sim
Sim
Sim
Não
Não
Angio a 90° necessário
Sim
Sim
Sim
Não
Não
Ângulo preciso fio-alvo
Não
Não
Não
Sim
Sim
% Cobertura DA
100%
100%
100%
85%
85% → >100%*
% Cobertura CD
100%
100%
100%
66%
66% → >100%*
% Cobertura Cx
66%
66%
66%
33%
33% → >66%*
Adaptado de Wu et al., Tabela 1, Catheter Cardiovasc Interv 2026 (CC BY). *Com reposicionamento do fio entre quadrantes.
Figura 4. Ângulos fluoroscópicos para achar a ZOV. Segmentos verticais (CD média, DA média/distal) usam OAE e OAD (setas vermelhas). Horizontais (TCE, DA proximal, CD proximal/distal) usam OAE cranial e OAE caudal (setas verdes). Diagonais (VPL, Cx) usam OAD caudal e OAE cranial (setas azuis). Fonte: Wu et al., Catheter Cardiovasc Interv 2026, CC BY.Figura 7. (a) Near side miss: recuar fio e microcateter para que o fio percorra distância maior até o alvo. (b) Far side overshoot: recuar para o centro da capa, rotacionar 180 graus e repuncionar. Fonte: Wu et al., Catheter Cardiovasc Interv 2026, CC BY.
Análise crítica
A força da ZOLUTION está na elegância conceitual. Reduzindo o problema 3D a uma única visão de sobreposição mais uma projeção quase ortogonal de confirmação, a técnica contorna o ônus cognitivo que historicamente limitou a difusão do Okamura no Ocidente e na América Latina. Para operadores já familiarizados com ADAPT, a curva é pequena e a linguagem reaproveitável. O quadro de indicações, ancorado na classificação morfológica de corpo de CTO do APCTO Club (trajeto claro, afilado, blunt, ambíguo), é pragmático e alinha o 3D wiring exatamente aos subgrupos onde ele agrega valor real.
A principal fragilidade é a ausência de dados prospectivos. Não é um estudo de validação. As afirmações sobre cobertura e taxa de cruzamento são teóricas e dependentes do operador. O loop de correção near miss / far miss é intuitivo, mas pressupõe controle ótimo de fios rígidos, o que não é universal. A ZOLUTION também presume conforto com fios de alta força de penetração (Conquest, Confianza, Hornet). Operadores muito ancorados na família Gaia podem ter dificuldade em traduzir a clareza geométrica na força de punção que a técnica exige. A correção trigonométrica do Apêndice C é bem vinda, mas sinaliza que a aplicabilidade universal ainda esbarra em limites anatômicos, especialmente em DA média horizontal ou DA proximal, onde a ZOV pode cair fora das angulações alcançáveis pelo arco.
Uma segunda observação: a tolerância de 35 a 70 graus para a segunda visão suaviza a precisão da técnica. Quanto mais perto de 35 graus, maior o erro de paralaxe e maior o risco de interpretar mal a orientação da ponta. O artigo se beneficiaria de uma faixa default recomendada e de orientação explícita sobre quando abandonar a ZOLUTION em favor de parallel wire, dissecção/re entry com knuckle ou estratégia retrógrada.
Mensagem para o laboratório de hemodinâmica
Adotar a ZOLUTION como framework default de 3D wiring para punção da capa distal em CTO com trajeto intimal claro e para abordagem da capa proximal quando se exige fio de alta penetração. Combinar sistematicamente com Conquest 12 ou Hornet 14, e confirmar a punção na segunda visão antes de comprometer o avanço. Manter a correção matemática como plano B para geometrias verticais de DA onde a ZOV não é diretamente acessível. Documentar a aquisição da ZOV de forma explícita no log de casos, construindo uma base pessoal, já que a validação futura da técnica dependerá de desfechos no nível do operador.
Wu EB, Leung C, Nagamatsu W, Mashayekhi K, Matsuno S, Harding SA, Lo S, Lim ST, Ge L, Chen JY, Qian J, Lee SW, Kao HL, Kalyanasundaram A, Muenpetch M, Luo HJF, Brilakis ES. A Novel 3D Wiring Technique, ZOLUTION Zero Degree OverLap View Universal Three DimensIONal CTO Wiring. Catheter Cardiovasc Interv. 2026;1–11. doi:10.1002/ccd.70575
Esta edição do Journal Club é uma análise crítica independente, com finalidade educacional. Não representa a visão dos autores originais nem de qualquer instituição. Evandro Martins Filho, MD não possui relação com os autores ou patrocinadores do artigo citado.
Resumen. Wu y el APCTO Club proponen ZOLUTION (Zero degree OverLap view Universal Three dimensIONal CTO Wiring), una técnica simplificada de wiring anterógrado 3D en CTO que elimina la necesidad de construir mentalmente una imagen tridimensional y de proyecciones angiográficas a 90 grados. El método se basa en encontrar una proyección de superposición de cero grados, en la cual el cuerpo del alambre y el blanco se superponen, enderezar la punta en esa vista, y confirmar la dirección en una segunda vista a 35 a 70 grados antes de puncionar hacia adelante. Los autores argumentan que ZOLUTION es universalmente aplicable y metodológicamente más simple que Okamura, ADAPT y overlap rotacional.
Contexto
El wiring anterógrado 3D ha sido defendido por más de una década como alternativa superior al wiring 2D en CTO PCI, particularmente para punción de la capa distal en el lumen verdadero distal, body wiring en lesiones con trayecto intimal claro, abordaje de la capa proximal y reverse CART. Los métodos Okamura y ADAPT (Wu et al., 2019) mostraron mayor éxito, pero la adopción fuera de Japón quedó limitada. Las razones son conocidas: construir una imagen 3D mental es costoso, las vistas óptimas varían por segmento, y obtener proyecciones a 90 grados reales muchas veces es físicamente imposible en los arcos actuales. Leung et al. describieron el método de overlap rotacional, que resolvió parte del problema geométrico pero seguía exigiendo ángulos específicos. Existía espacio para una técnica universal más práctica.
Figura 1. Principios de ADAPT (Angiographic 3 Dimensional Antegrade Puncture Technique). La base geométrica que ZOLUTION luego simplifica. Fuente: Wu et al., Catheter Cardiovasc Interv 2026, CC BY.
Métodos
Es un artículo EDUCATION, no un ensayo clínico. Los autores presentan la técnica paso a paso, una tabla comparativa con los métodos 3D existentes, casos de uso recomendados, figuras esquemáticas y tres videos procedimentales. No hay cohorte de pacientes, desenlaces ni análisis estadístico. La justificación matemática para la elección de vistas está en el Apéndice C, firmado por Calvin Leung, e incluye una corrección para los casos en los que la ZOV no puede alcanzarse con angulaciones estándar.
Los cuatro pasos:
Identificar la ZOV, la proyección fluoroscópica en la que el cuerpo del alambre y la línea imaginaria que atraviesa la capa distal se superponen.
Enderezar la punta con micro rotaciones en esa vista, hasta formar una columna recta entre cuerpo y punta.
Adquirir una segunda vista coaxial a 35 a 70 grados. Si la punta no apunta al blanco, volver a la ZOV, rotar 180 grados, enderezar y verificar nuevamente.
Avanzar el alambre en la segunda vista, donde la percepción de profundidad se mantiene y el blanco es visible.
Figura 3. Secuencia de ZOLUTION. (a) Localizar la proyección de superposición de cero grados (ZOV). (b) Enderezar la punta. (c) Ir a la segunda vista y verificar dirección. (d) Si apunta fuera, volver a ZOV y rotar 180 grados. (e) Reverificar en la segunda vista. (f) Avanzar hacia el lumen verdadero distal. Fuente: Wu et al., Catheter Cardiovasc Interv 2026, CC BY.Figura 5. Encontrar la ZOV. (a) Cuando la posición del alambre está en lados opuestos del blanco en dos vistas, la ZOV queda entre ambas. (b) Cuando está del mismo lado, la ZOV es una rotación adicional hacia la vista más cercana. Fuente: Wu et al., Catheter Cardiovasc Interv 2026, CC BY.
Resultados y afirmaciones
La Tabla 1 del artículo original sintetiza la comparación frente a mental image, Okamura, ADAPT y overlap rotacional. ZOLUTION elimina la imagen 3D mental, no requiere proyecciones a 90 grados, no depende de ángulos predefinidos por segmento y entrega un vector preciso de cero grados hacia el blanco. Con reposicionamiento del alambre entre cuadrantes, la cobertura estimada sube a DA 85 a más de 100 por ciento, CD 66 a más de 100 por ciento y Cx 33 a más de 66 por ciento frente al overlap rotacional. Los alambres recomendados para punción de la capa distal son Conquest o Confianza 12g y Hornet 14, dejando Conquest Pro 8/20 o Conquest Pro Sharpen Tip (CPST) para las capas más resistentes.
Criterio
Imagen mental
Okamura
ADAPT
Overlap rot.
ZOLUTION
Imagen 3D mental requerida
Sí
Sí
No
Sí
No
Ángulos específicos por segmento
Sí
Sí
Sí
No
No
Angio a 90° requerido
Sí
Sí
Sí
No
No
Ángulo preciso punta-blanco
No
No
No
Sí
Sí
% Cobertura DA
100%
100%
100%
85%
85% → >100%*
% Cobertura CD
100%
100%
100%
66%
66% → >100%*
% Cobertura Cx
66%
66%
66%
33%
33% → >66%*
Adaptado de Wu et al., Tabla 1, Catheter Cardiovasc Interv 2026 (CC BY). *Con reposicionamiento del alambre entre cuadrantes.
Figura 4. Ángulos fluoroscópicos para hallar la ZOV. Segmentos verticales (CD media, DA media/distal) usan OAI y OAD (flechas rojas). Horizontales (TCI, DA proximal, CD proximal/distal) usan OAI craneal y OAI caudal (flechas verdes). Diagonales (PLV, Cx) usan OAD caudal y OAI craneal (flechas azules). Fuente: Wu et al., Catheter Cardiovasc Interv 2026, CC BY.Figura 7. (a) Near side miss: retirar alambre y microcatéter para que el alambre recorra mayor distancia hacia el blanco. (b) Far side overshoot: retirar al centro de la capa, rotar 180 grados y repuncionar. Fuente: Wu et al., Catheter Cardiovasc Interv 2026, CC BY.
Análisis crítico
La fortaleza de ZOLUTION está en su elegancia conceptual. Al reducir el problema 3D a una única vista de superposición más una proyección casi ortogonal de confirmación, la técnica esquiva la carga cognitiva que históricamente limitó la difusión del Okamura en Occidente y en América Latina. Para operadores ya familiarizados con ADAPT, la curva es corta y el lenguaje reutilizable. El marco de indicaciones, anclado en la clasificación morfológica del cuerpo del CTO del APCTO Club (trayecto claro, afilado, blunt, ambiguo), es pragmático y alinea el 3D wiring justamente con los subgrupos donde realmente aporta valor.
La principal debilidad es la ausencia de datos prospectivos. No es un estudio de validación. Las afirmaciones sobre cobertura y tasa de cruce son teóricas y dependientes del operador. El loop de corrección near miss / far miss es intuitivo, pero presupone control óptimo de alambres rígidos, lo cual no es universal. ZOLUTION también asume soltura con alambres de alta fuerza de penetración (Conquest, Confianza, Hornet). Operadores muy anclados en la familia Gaia pueden tener dificultad para traducir la claridad geométrica en la fuerza de punción que la técnica exige. La corrección trigonométrica del Apéndice C es bienvenida, pero indica que la aplicabilidad universal todavía choca con límites anatómicos, especialmente en DA media horizontal o DA proximal, donde la ZOV puede caer fuera de las angulaciones alcanzables.
Una segunda consideración: la tolerancia de 35 a 70 grados para la segunda vista suaviza la precisión de la técnica. Cuanto más cerca de 35 grados, mayor el error de paralaje y mayor el riesgo de interpretar mal la orientación de la punta. El artículo se beneficiaría de un rango por defecto recomendado y de una orientación explícita sobre cuándo abandonar ZOLUTION en favor de parallel wire, disección/re entry con knuckle o estrategia retrógrada.
Mensaje para la sala de hemodinamia
Adoptar ZOLUTION como framework por defecto del 3D wiring para punción de la capa distal en CTO con trayecto intimal claro y para abordaje de la capa proximal cuando se requiere alambre de alta penetración. Combinar sistemáticamente con Conquest 12 o Hornet 14, y confirmar la punción en la segunda vista antes de comprometer el avance. Mantener la corrección matemática como plan B para geometrías verticales de DA donde la ZOV no es directamente accesible. Documentar la adquisición de la ZOV de forma explícita en los registros de caso, construyendo una base personal, ya que la validación futura de la técnica dependerá de desenlaces a nivel del operador.
Wu EB, Leung C, Nagamatsu W, Mashayekhi K, Matsuno S, Harding SA, Lo S, Lim ST, Ge L, Chen JY, Qian J, Lee SW, Kao HL, Kalyanasundaram A, Muenpetch M, Luo HJF, Brilakis ES. A Novel 3D Wiring Technique, ZOLUTION Zero Degree OverLap View Universal Three DimensIONal CTO Wiring. Catheter Cardiovasc Interv. 2026;1–11. doi:10.1002/ccd.70575
Esta edición del Journal Club es un análisis crítico independiente con fines educativos. No representa la visión de los autores originales ni de ninguna institución. Evandro Martins Filho, MD no tiene relación con los autores o patrocinadores del artículo citado.