Interventional Cardiology

Evandro
Martins Filho, MD

Clinical Assistant Professor at Case Western Reserve University School of Medicine. Interventional cardiologist specializing in complex coronary interventions, CTO, and advanced intravascular imaging.

Dr. Evandro Martins Filho

Dr. Evandro Martins Filho

Interventional Cardiologist

University Hospitals | CWRU School of Medicine

600+
PCI / Year
16+
Publications
CTO
Specialist
Cleveland, OH
@evandrofilhobr · 20K+ followers

From Northeast Brazil to Cleveland

I grew up in Northeast Brazil, where patients with complex coronary disease were often told their only options were open-heart surgery or medical therapy alone. That treatment gap shaped my career: I dedicated myself to mastering the most technically demanding forms of coronary intervention.

After fellowship at Instituto Dante Pazzanese de Cardiologia in São Paulo and immersion in the Japanese CTO influence (Tokyo/Kobe), I returned to Maceió, Alagoas, and built one of Brazil’s highest-volume CTO programs from the ground up.

Many patients were considered “too complex” for catheter-based treatment. This treatment gap profoundly influenced my professional direction.

Dr. Evandro Martins Filho in the catheterization laboratory
1,000+
Lifetime CTO PCI Cases
409
CTO Procedures (2023–2025)
90–94%
Technical Success
>98%
In-Hospital Survival

Now at University Hospitals Cleveland Medical Center, appointed Clinical Assistant Professor at Case Western Reserve University School of Medicine. Ohio Certificate of Conceded Eminence (COCE), a licensure reserved for internationally recognized physicians demonstrating extraordinary ability.

Lead Faculty & Program Director of CTO IN ACTION (Boston Scientific). Co-Director of CTO Club Brazil, the largest CTO immersion course in Latin America. Published the OPTEM-oHCM technique in JACC Case Reports, selected for “The Best of JACC” reprint.

01

Dante Pazzanese, São Paulo

Fellowship in hemodynamics and interventional cardiology at a global reference center in cardiovascular interventions and pivotal stent research.

02

Japanese CTO Influence

Training in Tokyo and Kobe: structured algorithms, wire escalation, retrograde techniques, imaging-guided strategy. 2nd Prize, TMT Complex Case Competition.

03

CTO Program, Alagoas

Built a high-volume complex coronary intervention program in Northeast Brazil. 409 consecutive CTO procedures, 90–94% success, >98% survival.

04

University Hospitals & CWRU

Recruited as Clinical Assistant Professor. Ohio COCE licensure. Expanding CTO, complex PCI, and CHIP capabilities.

2026

Clinical Assistant Professor

CWRU / University Hospitals, Cleveland, OH

2015 – 2025

Interventional Cardiologist

Santa Casa de Maceió, Alagoas, Brazil

2012 – 2015

Fellowship: Interventional Cardiology

Instituto Dante Pazzanese, São Paulo

2010 – 2012

Fellowship: Clinical Cardiology

Instituto Dante Pazzanese, São Paulo

2001 – 2007

Doctor of Medicine (M.D.)

Federal University of Paraíba (UFPB)

ESC / EAPCI

Official Mandate Holder, International Affairs Committee

SBHCI & SOLACI

Brazilian & Latin American Interventional Cardiology

SIAC

Council of Cardiovascular Interventions, Vocal Member

Complex PCI & CTO

Chronic total occlusions, bifurcation, left main, calcified lesions, atherectomy, lithotripsy

Intravascular Imaging

IVUS/OCT-guided optimization, plaque characterization, stent assessment

CHIP / High-Risk PCI

Impella, IABP, ECMO, multivessel disease, depressed LVEF, unprotected left main

Coronary Physiology

FFR, iFR, physiological assessment of intermediate lesions

Refractory Angina

Advanced revascularization, ischemia-guided assessment, multimodal optimization

Zero-Contrast PCI

IVUS-guided procedures in CKD, contrast minimization strategies

Drug-Coated Balloons

DCB strategies, small vessel disease, ISR treatment

CTO Education

CTO IN ACTION Lead Faculty. Co-Director, CTO Club Brazil. International proctor.

CTO Benchmarks: 2023–2025

382
Total CTO Cases
93.3%
Avg Technical Success
96.9%
Avg In-Hospital Survival
127
Avg Cases / Year
Metric 2023 (n=110) 2024 (n=146) 2025 (n=126)
Technical Success 94.5% 93.2% 92.1%
In-Hospital Survival 98.2% 93.2% 99.2%
Retrograde Use 27.0% 20.6% 42.9%
ADR Use 9.0% 8.2% 4.8%

Case volumes derived from institutional records and personal procedural logs. Data available upon request.

Procedures & Cases

Curated collection of complex CTO and coronary intervention cases shared from the cath lab. Cases originally posted on @evandrofilhobr on X.

Add New Case

Upload videos, images, and case descriptions

CTO Tips

Practical tips and technical pearls from over 1,000 CTO PCI cases. Lessons learned from the catheterization laboratory, shared on X and in live courses.

01
Wire Strategy

Start Soft, Escalate Fast

Begin every CTO with a soft polymer-jacketed wire (Fielder XT-A/R). If no progress within 5 min at the proximal cap, escalate to a tapered stiff wire (Gaia 2nd/3rd). Avoid wasting time with intermediate wires in a hard proximal cap.

@evandrofilhobr
02
Imaging

IVUS Before You Wire

Use IVUS from the contralateral vessel or a side branch to define the proximal cap entry point when angiography is ambiguous. This reduces subintimal entry and improves first-pass true lumen crossing rates.

@evandrofilhobr
03
Retrograde

Septal Surfing 101

For retrograde access via septals: use Sion wire with Corsair/Caravel microcatheter. Navigate the first septal that clearly connects. If it fails, move to the next one quickly. Avoid forcing through a tortuous channel.

@evandrofilhobr
04
Calcification

Calcium = Modify First

In heavily calcified CTOs, never stent without lesion modification. Rotational atherectomy (1.5mm burr), orbital atherectomy, or intravascular lithotripsy (IVL) before stent placement. IVUS confirms adequate expansion.

@evandrofilhobr
05
Strategy

Know Your Exit Strategy

Plan the full procedure before the first wire enters the CTO: antegrade vs. retrograde, which collateral channels, bailout plan. Set a time/contrast limit and respect it. Failed CTO PCI with preserved collaterals is not a failure.

@evandrofilhobr
06
Optimization

Post-CTO IVUS Is Non-Negotiable

After CTO recanalization, always run IVUS to confirm true lumen position, size the vessel accurately, and ensure stent expansion >80% of reference area. Underexpansion in long CTO stent segments is the #1 cause of stent thrombosis.

@evandrofilhobr

Case Highlights

Selected complex cases shared on @evandrofilhobr. Each card embeds the original post with a brief technical annotation: target lesion, strategy and bailout decisions made in the cathlab.

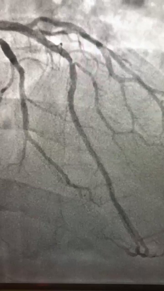
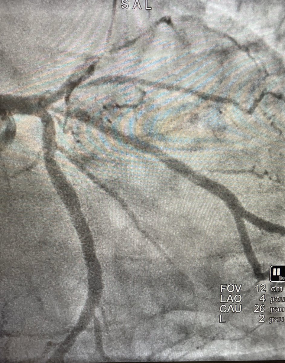
LAD proximal CTO with LM trifurcation, angiographic image View on X
LAD prox CTO LM trifurcation CABG declined

LAD proximal CTO with LM trifurcation disease

Patient declined surgical revascularization. Single transradial 8F access with EBU 3.5 guide for adequate backup. The case illustrates strategic guide selection and access planning when committing to PCI of a left main bifurcation/trifurcation in the setting of a proximal LAD CTO.

Artery: LAD prox + LM
Access: Radial 8F
Guide: EBU 3.5
Setting: CABG turndown
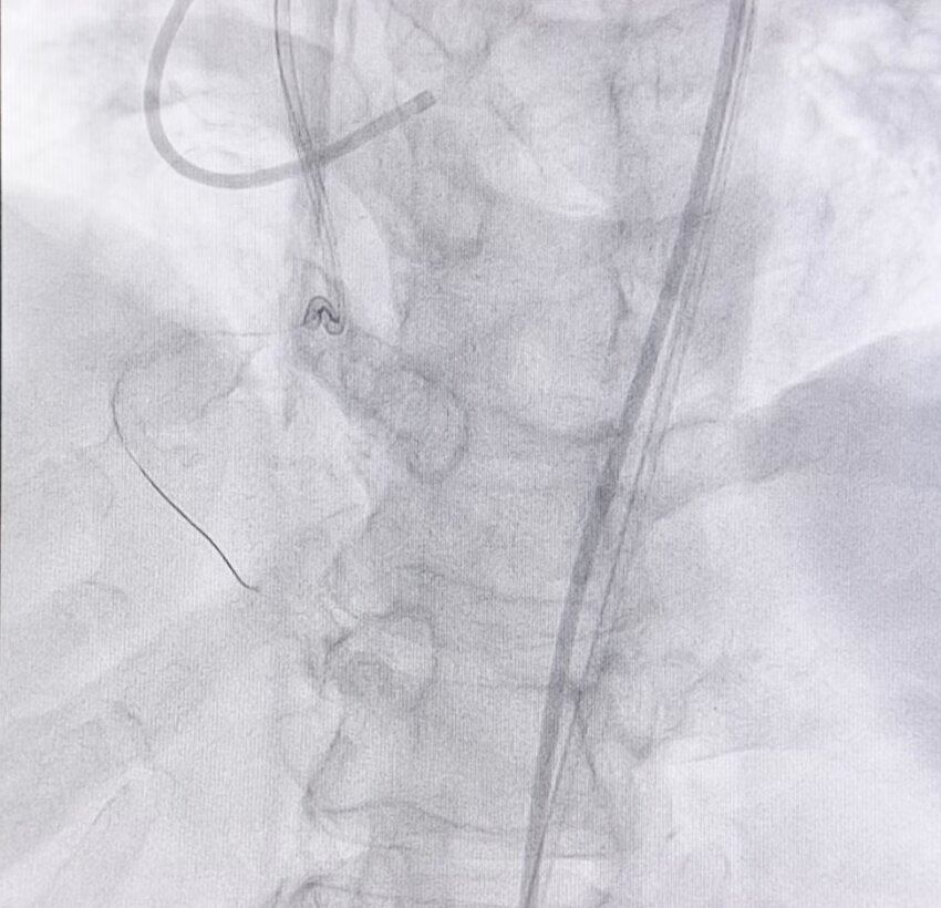
LAD/Dg bifurcation, reverse wire technique Watch on X
LAD/Dg bifurcation Reverse wire IVUS-guided

LAD/Dg bifurcation: Streamline Reverse Wire + mini-crush

True bifurcation lesion with extremely difficult side branch access. Streamline Reverse Wire technique used to gain access to the diagonal, followed by IVUS-guided mini-crush stenting. Demonstrates structured wiring strategies and the role of intracoronary imaging for two-stent bifurcation optimization.

Artery: LAD/Dg
Technique: Reverse wire
Stent strategy: Mini-crush
Imaging: IVUS
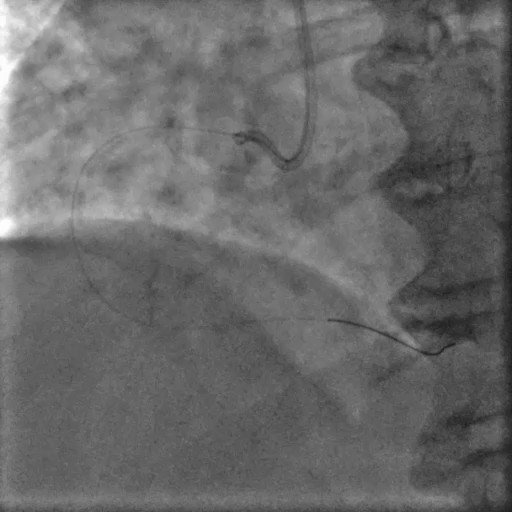
Calcified lesion with coronary laceration, Ping-Pong bailout Watch on X
Calcified PCI Coronary laceration Ping-Pong

Calcified lesion with intra-procedural coronary laceration

Extensive calcified disease complicated by coronary laceration during the procedure. Bailout managed with Ping-Pong dual-guide technique to maintain wire position for both balloon tamponade and covered stent delivery, with definitive sealing using a Papyrus covered stent. Worth reviewing for any operator dealing with complex calcium and perforation preparedness.

Substrate: Severe Ca²⁺
Complication: Laceration
Bailout: Ping-Pong
Sealing: Papyrus
Mechanical SAVR with acute decompensation, emergent cath Watch on X
Mechanical SAVR Cardiogenic shock New LBBB

Acute decompensation in patient with mechanical aortic prosthesis

Patient with prior SAVR (mechanical prosthesis, 20-year history) presenting with acute dyspnea, cardiogenic shock (BP 80/40) and new LBBB on ECG. Referred for emergent catheterization. Vignette highlights the diagnostic challenge of suspected mechanical valve dysfunction versus acute coronary syndrome in a hemodynamically unstable patient.

History: SAVR 20y
Hemodynamics: Shock 80/40
ECG: New LBBB
Setting: Emergent cath

Presentations & Faculty

Regular participant, faculty, and invited speaker at multiple national and international interventional cardiology conferences since 2014.

SOLACI–SBHCI Joint Congresses

Speaker & Panelist (2019–2024)

Invited speaker and panelist at the Latin American Society of Interventional Cardiology joint congresses with SBHCI. Topics in CTO PCI, complex coronary interventions, and intravascular imaging.

TMT Tokyo 2019: 2nd Prize

Complex Case Competition

TMT Winter Program (Complex PCI / CTO Techniques), awarded 2nd Prize in Complex Case Competition

SPCI Puerto Rico 2025

International Faculty Operator

Live case transmission from Santa Casa de Maceió at the Puerto Rico Society of Interventional Cardiology Meeting

CTO Club Brazil

Co-Director & Live Case Operator (2022–2025)

Co-Director since the 2nd edition. Largest CTO immersion course in Latin America: 120+ attendees, 19 states, international faculty. Live complex CTO cases with real-time educational discussion.

SBHCI Congress

Faculty, Speaker, Moderator (2014–2025)

Annual participation as faculty at Brazil's national interventional cardiology congress

TCT Washington DC

Abstract Presentations (2014, 2025)

Presented research on OCT reproducibility, DCB in ISR, and CTO outcomes at TCT

Upload Presentation

Add slides, posters, or lecture recordings

Research & Publications

Peer-reviewed publications in high-impact journals, co-authored consensus documents, and ongoing research in interventional cardiology.

16+
Peer-reviewed Papers
27+
Conference Abstracts
5+
Journals
1
"Best of JACC"
2026

Limus- vs. Paclitaxel Coated Balloons for In-Stent Restenosis Treatment: A Systematic Review and Study-Level Meta-Analysis of RCTs

The American Journal of Cardiology

Suruagy-Motta RFO, ..., Martins Filho E, Gibson CM, Brilakis ES

2026

Leadless or Transvenous Pacemakers Following TAVR: A Systematic Review and Meta-Analysis

Cardiovascular Revascularization Medicine

Suruagy-Motta RFO, ..., Martins Filho E, Stone GW, Cavalcante JL

2025

OPTEM-oHCM: Optimal Targeted Polymer-based Embolization for Obstructive Hypertrophic Cardiomyopathy

JACC Case Reports

Martins Filho E, Munhoz TS, Munhoz Júnior S

Selected for "The Best of JACC" Reprint, March 2026
2025

Effect of Diabetes Mellitus on Clinical Outcomes After Transcatheter Aortic Valve Implantation: Systematic Review and Meta-Analysis

Catheter Cardiovasc Interv

Martins Filho, E., et al.

2025

Reducing Radiation Exposure Using Very Low Frame Rate Fluoroscopy Protocol During CTO PCI

GE HealthCare White Paper

Martins Filho E, Souza R, Rocha A, Doring T

2024

Guide Catheter Extension Use Is Associated with Higher Procedural Success in CTO PCI

Catheterization and Cardiovascular Interventions

Filho, E.M., Araujo GN, Machado GP, Padilla L, et al.

2024

Evaluation of Success and Complication Scores for CTO PCI: Insights from the LATAM Registry

The American Journal of Cardiology

Oliveira PP, ..., Filho, E.M., Araujo GN, Côrtes LA, et al.

2023

Crush Techniques for Percutaneous Coronary Intervention of Bifurcation Lesions

EuroIntervention

Santiago R, Martins Filho E, Hall J, Bangalore S, Azzalini L

2022

Outcomes of CTO PCI in Patients with Prior CABG: Insights from the LATAM CTO Registry

Catheter Cardiovasc Interv

Hernandez-Suarez DF, ..., Martins Filho E, et al.

2021

Multicenter Experience with the Antegrade Fenestration and Reentry Technique for CTO Recanalization

Catheter Cardiovasc Interv

Azzalini L, ..., Filho EM, et al.

2020

Chronic Total Occlusion PCI in Latin America

Catheter Cardiovasc Interv

Quadros A, ..., Filho EM, et al.

View All on Google Scholar →

Journal Club

Biweekly critical appraisal of high-impact papers in chronic total occlusion PCI, complex coronary intervention and intracoronary imaging. Each issue: TL;DR, methods, key results, critical appraisal and a take-home for the cathlab.

New issue every 2 weeks Critical appraisal · 600-900 words EN · PT · ES

Live from the Cath Lab

Social Media Ambassador

Selected as official Social Media Ambassador for leading international interventional cardiology congresses, responsible for real-time digital coverage, case dissemination, and educational content amplification.

CRF

Cardiovascular Research Foundation
TCT 2022
Boston, MA | Sep 2022
Completed
TCT 2024
Washington, DC | Oct 2024
Completed
CTO Plus 2025
New York, NY | Feb 2025
Completed
NY Valves 2025
New York, NY | Jun 2025
Confirmed
TCT 2025
San Francisco, CA | Oct 2025
Confirmed
NY Valves 2026
New York, NY | 2026
Invited

Optima Education

International PCI Training & Education
Optima PCI London 2025
London, UK | Oct 2025 | #OptimaPCILondon25
Confirmed
CT-Guided PCI Course
Jul 2025
Invited

Coronary Disease, CTO & Complex PCI

Coronary Artery Disease

Plaque buildup narrows the arteries that supply blood to the heart, causing chest pain, shortness of breath, and reduced quality of life. Understanding the disease is the first step toward effective treatment.

Chronic Total Occlusion (CTO)

When a coronary artery becomes 100% blocked, patients often suffer refractory angina and exercise limitation. Many are told nothing more can be done, but modern CTO PCI techniques achieve success rates above 85%.

Complex & High-Risk PCI

For patients with left main disease, severe calcification, or multivessel involvement who face high surgical risk, advanced percutaneous techniques with imaging guidance and mechanical support offer a viable alternative to open-heart surgery.

How I Can Help

Whether you are a patient seeking relief from angina that medications cannot control, or a physician looking for a CTO and complex PCI specialist to discuss a challenging case, I am here to help.

Services

Diagnostic Catheterization

Coronary angiography, left heart catheterization, hemodynamic assessment, and vascular access management

Complex Coronary Intervention

CTO revascularization, bifurcation PCI, left main disease, calcified lesions with atherectomy/lithotripsy

Intravascular Imaging

IVUS and OCT-guided PCI optimization, plaque morphology analysis, stent expansion assessment

Structural Heart Interventions

TAVI, MitraClip, left atrial appendage closure, ASD/VSD/PDA closure procedures

Coronary Physiology

FFR and iFR assessment for intermediate lesions, physiological guidance for revascularization

Clinical Consultation

Second opinions, complex case review, multidisciplinary heart team collaboration

Now at University Hospitals, Cleveland

Clinical Assistant Professor, Case Western Reserve University School of Medicine. Accepting new patients and physician referrals for complex coronary and structural heart conditions.

Schedule Consultation

CTO Proctoring Across Brazil

Industry Proctorships · 2019–Present

Lead proctor for complex CTO-PCI across Brazil through partnerships with Boston Scientific, Cardiomedh, GiaMedical, Cardiovas, Alpha Medical, Nucleomed, and Somma. Over 300 live proctoring cases in 45+ cities spanning all five macro-regions, teaching AWE and ADR approaches with advanced IVUS/OCT guidance.

300+ CTO Cases Proctored
45+ Cities
20 States
7 Industry Partners
Norte
Nordeste
Centro-Oeste
Sudeste
Sul
54 Norte 4 cities · AM PA AP TO
81 Nordeste 14 cities · 8 states
24 Centro-Oeste 4 cities · DF GO MT
79 Sudeste 14 cities · MG SP RJ
61 Sul 9 cities · RS SC PR
Boston Scientific Cardiomedh GiaMedical Cardiovas Alpha Medical Nucleomed Somma

Contact

Location

University Hospitals, Cleveland, Ohio

Academic Affiliation

Case Western Reserve University School of Medicine